Ápice abierto.
Un diente inmaduro o permanente joven es un diente recién erupcionado con una formación radicular incompleta (ápice abierto). La pulpa dental, es indispensable para la formación de la dentina. Al aparecer una patología pulpar, conlleva a la interrupción del desarrollo normal de la raíz del diente, esto ocasiona la formación paredes delgadas y propensas a fracturas.
La presencia de un ápice abierto puede complicar el tratamiento de lesiones pulpares.
Para la planificación del tratamiento los factores más importantes son el estado de la pulpa y el grado de desarrollo radicular que conoceremos a través de la exploración clínica y radiológica. Dependiendo la vitalidad de la pulpa se puede utilizar dos técnicas:
- APEXOGÉNESIS o APICOGENESIA.
- APEXIFICACIÓN o APICOFORMACIÓN
La Apexogénesis es el tratamiento de una pulpa vital en un diente inmaduro, para permitir el desarrollo radicular continuo y el cierre apical. Esta indica da en dientes inmaduros que presentan una exposición pulpar por trauma o caries. Se realiza mediante una pulpotomía superficial que mantiene la vitalidad de la pulpa radicular con un contenido celular rico y la vascularización para la defensa y los mecanismos de curación.
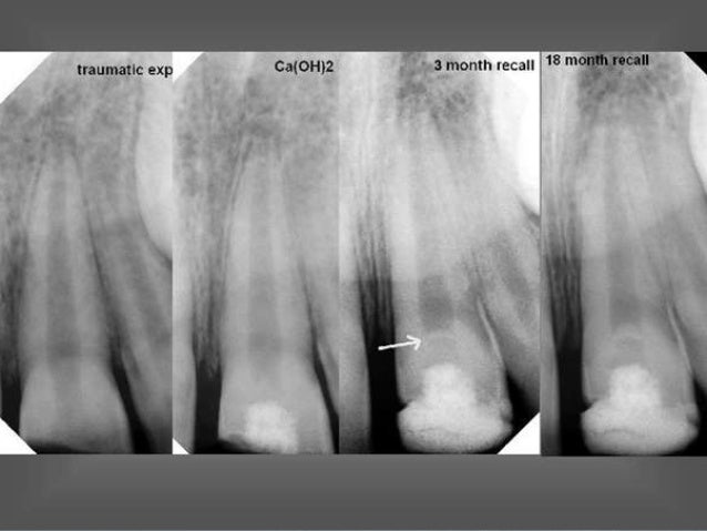
La apexificación es el tratamiento para crear un ambiente dentro del conducto radicular y los tejidos periapicales después de la necrosis pulpar, que permita la formación de una barrera calcificada a través del ápice abierto. La mejoría del conducto y del entorno apical permiten la reanudación, una vez más, del proceso interrumpido de desarrollo radicular y cierre apical. El resultado usual es el achatamiento del extremo de la raíz y poco o ningún aumento en la longitud.
La creación de un ambiente favorable para la formación de una barrera calcificada consiste en la limpieza minuciosa para eliminar bacterias y tejido necrótico del sistema de conductos, seguidas por la colocación de una pasta que permitirá la formación de una barrera calcificada en el ápice. El hidróxido de calcio se utiliza como material de obturación temporal. Es bactericida con un ph alcalino que pueda estimular la calcificación apical.



Comentarios
Publicar un comentario